MSCloud. Новый дом для ваших файлов, сегодня и в будущем
Зарегистрируйтесь или войдите сейчас, чтобы загружать, делать резервные копии, управлять и получать доступ к своим файлам на любом устройстве, из любой точки мира, бесплатно.
Исследовательская компания AIMultiple опубликовала результаты
Компания Google работает над новым способом вызова своего
Власти рассматривают возможность дополнения реестра
Компания LastObject представила портативный усилитель
Компания Fraimic запустила на Kickstarter кампанию по сбору
У гаджета 3 дюймовый TFT экран, разрешение 240*400 точек. eTrex
Японское представительство Google представило необычный концепт
Чикагская товарная биржа CME Group планирует запустить
Компания CIO начала продажи устройства «MugWarmerII»
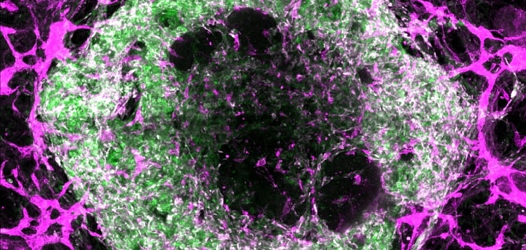
Нейробиолог Питер Коппола из Кембриджского университета
Новый наключный фонарик Manker LAD III получил максимальную
Южнокорейская компания MediWhale, которая занимается
Развитие искусственного
интеллекта и облачных технологий в
Исследователи из США представили новую технологию
В сентябре 2025 года совокупный объем торгов на
Компания Kawasaki официально представила новый мотоцикл