Техническая поддержка (24/7):

MSCloud. Новый дом для ваших файлов, сегодня и в будущем

Зарегистрируйтесь или войдите сейчас, чтобы загружать, делать резервные копии, управлять и получать доступ к своим файлам на любом устройстве, из любой точки мира, бесплатно.

Новости

card

AIMultiple опубликовала результаты о сроках

Исследовательская компания AIMultiple опубликовала результаты

Подробнее
card

Google запатентовала активацию Gemini по

Компания Google работает над новым способом вызова своего

Подробнее
card

Перечень автомобилей для работы в такси

Власти рассматривают возможность дополнения реестра

Подробнее
card

LastObject представил портативный

Компания LastObject представила портативный усилитель

Подробнее
card

Fraimic выпускает фоторамки с E Ink экранами,

Компания Fraimic запустила на Kickstarter кампанию по сбору

Подробнее
card

Garmin показала устройство для навигации eTrex

У гаджета 3 дюймовый TFT экран, разрешение 240*400 точек. eTrex

Подробнее
card

Google разработала оригинальную клавиатуру Gboard в

Японское представительство Google представило необычный концепт

Подробнее
card

Биржа CME переходит на работу без выходных для

Чикагская товарная биржа CME Group планирует запустить

Подробнее
card

MugWarmerII от CIO совмещает подогрев напитков и

Компания CIO начала продажи устройства «MugWarmerII»

Подробнее
card

Новое исследование показало, что сознание возникает

Нейробиолог Питер Коппола из Кембриджского университета

Подробнее
card

Размером со спичечный коробок, весит 33г, но

Новый наключный фонарик Manker LAD III получил максимальную

Подробнее
card

MediWhale планирует ИИ-систему прогнозирования

Южнокорейская компания MediWhale, которая занимается

Подробнее
card

Развитие ИИ в США столкнулось с дефицитом

Развитие искусственного интеллекта и облачных технологий в

Подробнее
card

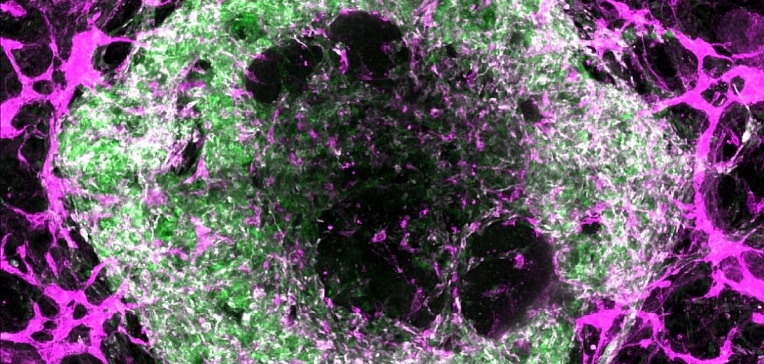
Ученые вырастили в лаборатории мини-органы с

Исследователи из США представили новую технологию

Подробнее
card

DEX-биржи установили рекорд по объему торгов

В сентябре 2025 года совокупный объем торгов на

Подробнее
card

Kawasaki возрождает линейку литровых нейкед-байков с

Компания Kawasaki официально представила новый мотоцикл

Подробнее
Подписаться на новости IT-CAFFE Россия